- ブロトピ
-
前回の「セリアック病の歴史と日本人の有病率」に続き、グルテンに関する研究の紹介です。 欧米では100人に1人の割合がセリアック病などのグルテンを由来とする病気の影響を受けるとされています。 中には症状が軽いために […] 読む睡眠薬 2024/12/04 00:00
-
はじめに Kindle Unlimitedは、読書好きにはたまらないサービスですよね 介護福祉士『ルドルフ』の… 2024/12/03 19:30
-
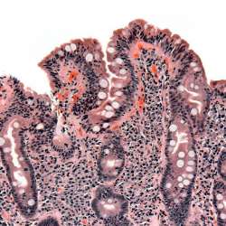
セリアック病(celiac disease)は、グルテン摂取により小腸が損傷する自己免疫疾患です。 消化器症状として、慢性的な下痢、腹痛、膨満感、栄養不良による体重減少が見られ、消化器外の症状としては、疲労 […] 読む睡眠薬 2024/12/03 00:00
-
旧 Twitter(ツイッター)からXに変更され、相変わらず、 政治投稿がうざく感じます。 特にXは活動家が多いのでマスゴミが報じたことを誇張して Xに投稿しているように思います。 以前はブロックしたりミュートしたりしていましたが、あとを絶たないので、ミュートするキーワードを設定することにしま… 星みるみち 2024/12/02 21:24
-
久しぶりの「菓子パン体験」!美味しさ再発見のひととき 懐かしの味に思わず感動! 今日は久しぶりにコンビニの菓子パンを手に取りました 介護福祉士として忙しい日々を送る中、昼ごはんは普段お弁当で済ませることが多いのですが、今日は外出のついでに立ち寄ったコンビニで手軽に済ませることにしました そこで目に留… 介護福祉士『ルドルフ』の… 2024/12/01 20:00
-
懐かしいライトノベル、フルメタル・パニック!の新刊を遅ればせながら読んでみました 今から20年ほど前、学生だった私はあるライトノベルを読んでいました 介護福祉士『ルドルフ』の… 2024/11/30 21:30
-
40歳、それは人生を整理し新しい価値を見出すとき 今回は40歳という自分の在り方について、考えたことをつれづれ書いてみたいと思います 1. 40歳という節目 40歳という年齢は多くの人にとって人生の中間地点ともいえる時期です 若さゆえの勢いが落ち着き過去の経験や知識が蓄積されてくる一方で新しいことを… 介護福祉士『ルドルフ』の… 2024/11/29 20:00
-
ゴボウ茶で体重3キロ減!? 私が体感したその力と秘密 ゴボウ茶との出会い:父親の習慣から始まった新しい挑戦 私がゴボウ茶を飲み始めたきっかけは、父親でした ある日、家で父がゴボウ茶を飲んでいる姿を見て、「何それ?」と聞いたのが始まりです 「これ、体にいいんだぞ。デトックスになるし、健康にいいってテレ… 介護福祉士『ルドルフ』の… 2024/11/28 21:30
-
こんにちは(」・ω・) 新潟は大雨警報と土砂災害そこに来て強風? 最悪3段活用です えっ(;゚Д゚)! 三段活用してないって? そう言われればそうですね それでは言い換えて3 悪天候 ですねꉂ?? 元嫁の件ですが 今は彼女がいるということで友達以上恋人未満って形に落ち着きました 彼女って何人… 愛する人 2024/11/28 12:23
-
ケアマネ受験者2776人減少で、人材不足止まらず?今年の合格点は? ケアマネ受験者2776人減少で、人材不足止まらず?今年の合格点は? ケアマネの受験人数はまた下がった… 受験人数が減った最大の理由は…? ちなみにケアマネを受験する人の多くはケアマネにならない ケアマネの受験数が減った理由… 今年… ケアマネ介護福祉士のブロ… 2024/11/28 08:53
-
瞑想したいのに集中できない!その原因と解決法を徹底解説 瞑想って聞くと興味はあるけど難しそう、やってみたけど集中できなくてやめた、という方に 介護福祉士『ルドルフ』の… 2024/11/27 19:00
-
近所のブックオフで出会った「正法眼蔵」──古い文庫に挑戦する楽しみ 最近は読書といえば電子書籍が専らだった私ですが、たまには手にとって読んでみたい気持ちも湧いてきます そこで、お休みに久しぶりにブックオフへと行きました その時手に入れたのが道元禅師の『正法眼蔵』だったのです! 介護福祉士『ルドルフ』の… 2024/11/26 19:00
-
皆さん おはようございます☀︎ 新潟はこれから雨模様になる予報なんですが今はとても天気がいいです 気温も高めなので過ごしやすいのかな? 明日からはまた寒気団が来るので冷え込むような予報になってます さてLINEなんですが元嫁が 何を考えたのか元サヤに戻りたいって言ってきてるんです こち… 愛する人 2024/11/26 10:31
-
第101回 東京箱根間往復大学駅伝競走 の限定缶ビールが発売!! 今回はサッポロ 黒ラベル から、第101回 箱根駅伝 のコラボ商品 「 箱根駅伝 缶2025」 をマ ラソン 好きが紹介します。 ●商品名 ●ブランド ●商品紹介 ●発売日 ●税込価格 ●コメント ↓ Amazon で購入できま… ウマ王子の一口馬主ブログ 2024/11/25 21:35
-
ブラックフライデーの影響?お茶のまとめ買いが届かない! 私が仕事でお茶を多量に飲んでいる話を以前したように思います 今回はその話に関係した物流の問題についてのごく私的な体験と考えを書いていきます 1. 仕事中の必需品!ペットボトルのお茶 介護士として働く中で、ペットボトルのお茶は欠かせない存在です … 介護福祉士『ルドルフ』の… 2024/11/25 19:00
-
寒さが厳しくなる冬、うさぎにとって快適に過ごせる環境を整えることはとても重要です。 うさぎは寒さにある程度強いとされていますが、湿気や極端な温度変化には弱い動物です。 今回は、うさぎが冬を快適に過ごすためのポイントをご紹介します。 1. 室温の管理 2. ケージの配置と工夫 3. うさぎ用ヒーターの… こはおじさんの色々日記 2024/11/25 18:28
-
パソコン性能が変われば、仕事も遊びも変わる!新しいPC導入の効果 今回は、よくあるPCの買い替えで受けた恩恵と感想を書いていきたいと思います ゲームと仕事、両方を楽しむためのPC選び 最近、Steamのセールで気になるゲームを購入しました 普段ゲームをあまりプレイしない私ですが、動画を見て面白そうだ… 介護福祉士『ルドルフ』の… 2024/11/24 21:20
-
こんにちはトクです。 本日もブログ訪問くださりありがとうございます。 今回は11/17〜11/23のゴールド系EA5種類の実績を比較してみたいと思います。 まずは《GAMERA》の実績からです。 100万円 0.03ロット フル稼働 ⏬️⏬️⏬️ 損益が+817,446円となりました。 先々週末現… トクさんの自動売買(EA… 2024/11/24 16:16
-
今更だけど、新五千円札の津田梅子に初対面!家族で盛り上がった思い出 今回は、以前のブログでも書いた新五千円札、津田梅子について書きました 介護福祉士『ルドルフ』の… 2024/11/23 19:00
-
昨日は11月22日、 いい夫婦の日 だった。 だからといって僕ら夫婦は、 お互いに何もしていない。 というより、 お互いに「良い夫婦」としての自負がないからか、例年何にもしない😅 ただ、、、 もうずいぶん前になるけれど、 ある年の11月22日に、 群馬の 嬬恋村 に、 家族で旅行に行った。 特… 今日もこうして生きている… 2024/11/23 14:18
Googleでログイン